radiological images
放射線科画像(提供は荒木力先生
(東京大学医学部放射線学教室助教授)です)
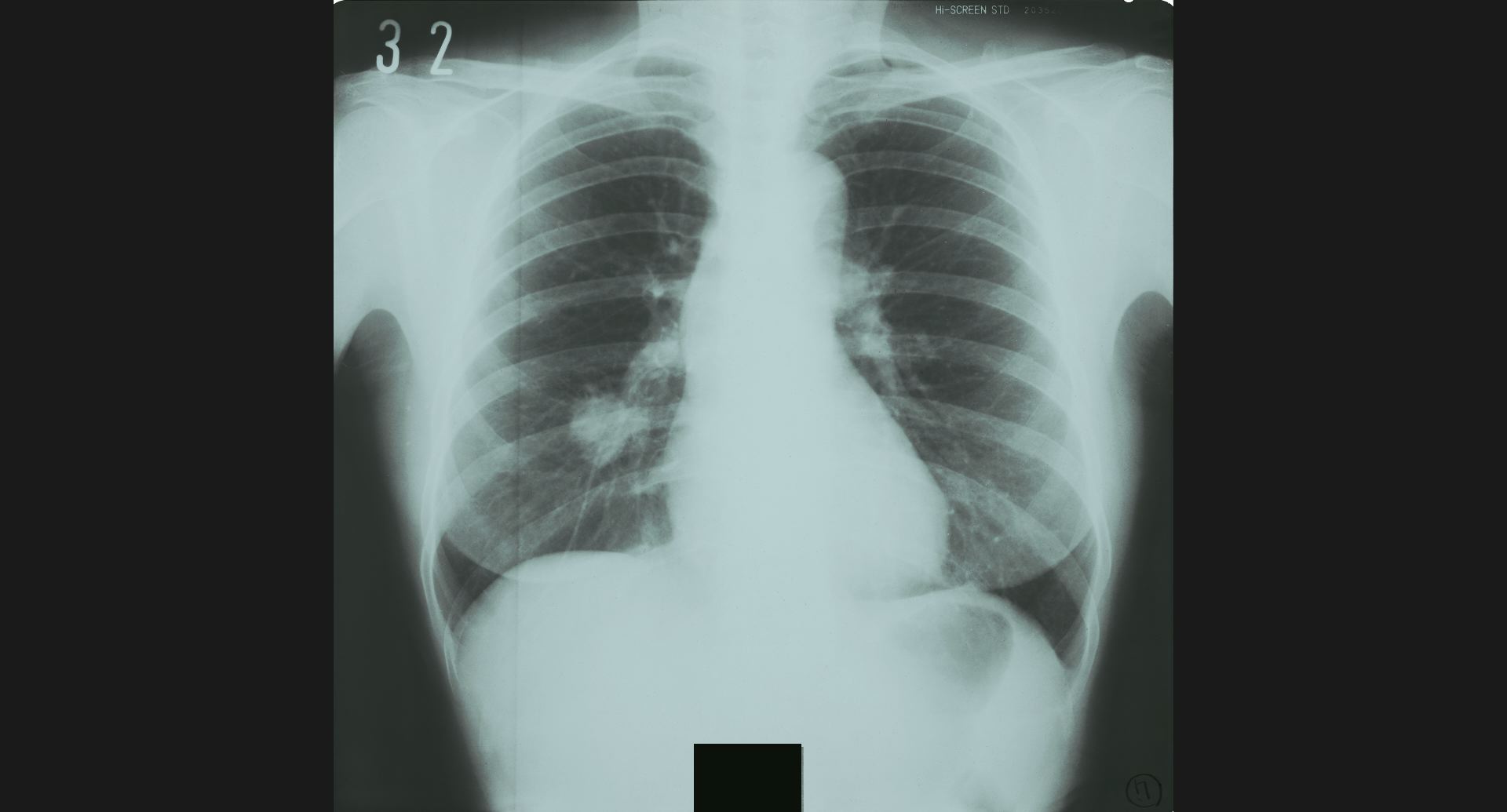
fig.1(117KB)
:Alveolar microlithiasis細かい肺病変、air bronchogram。
fig.2(104KB)
:気胸
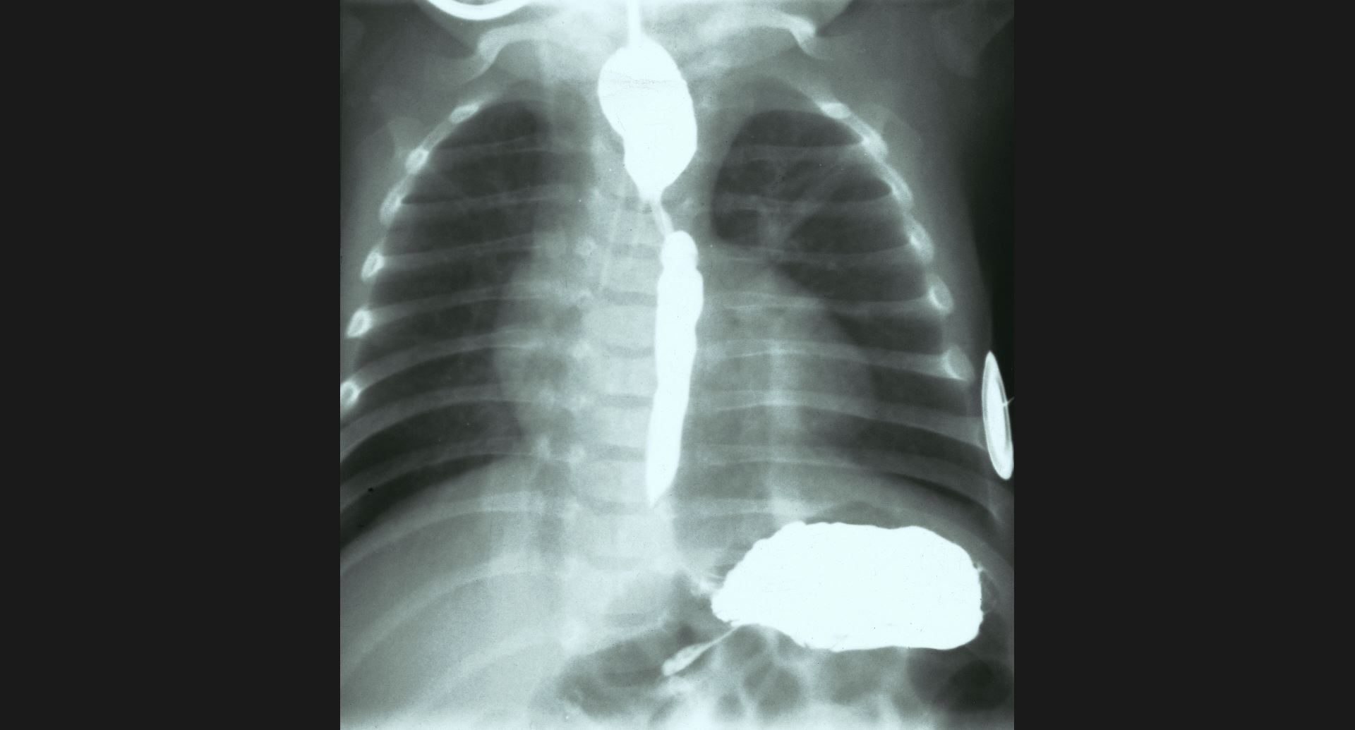
fig.3(105KB)
:食道狭窄、肺炎食道狭窄は、double aortic archによる。
肺炎は、造影の細かいところ。
fig.4(104KB)
:新生児の気管狭窄
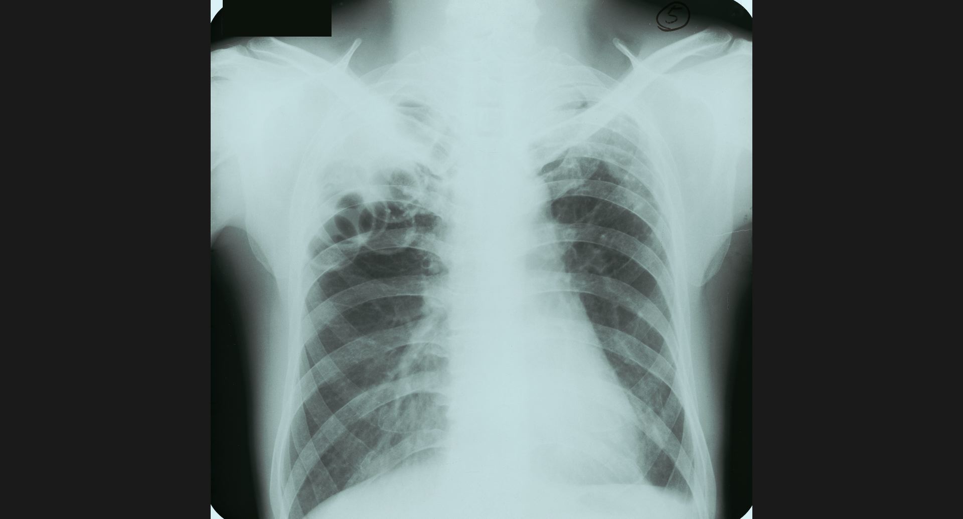
fig.5(93KB)
:Post-plomboge chestピンポン玉、左肺上葉の細かい石灰巣。
fig.6(97KB)
:Alveolar proteinosis (tomography)butterfly pattern, air bronchogram。
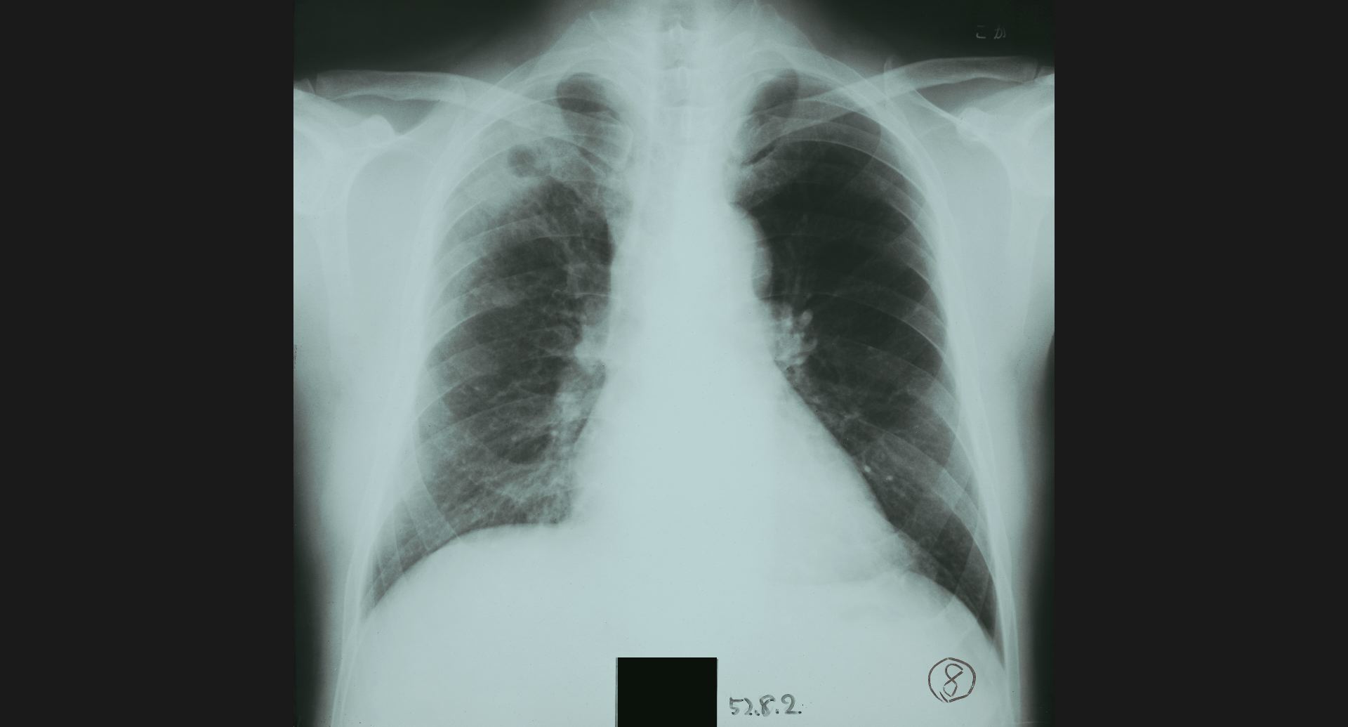
fig.7(86KB)
:Lung tumor (hamartoma)
fig.8(87KB)
:Lung abcesscavity。
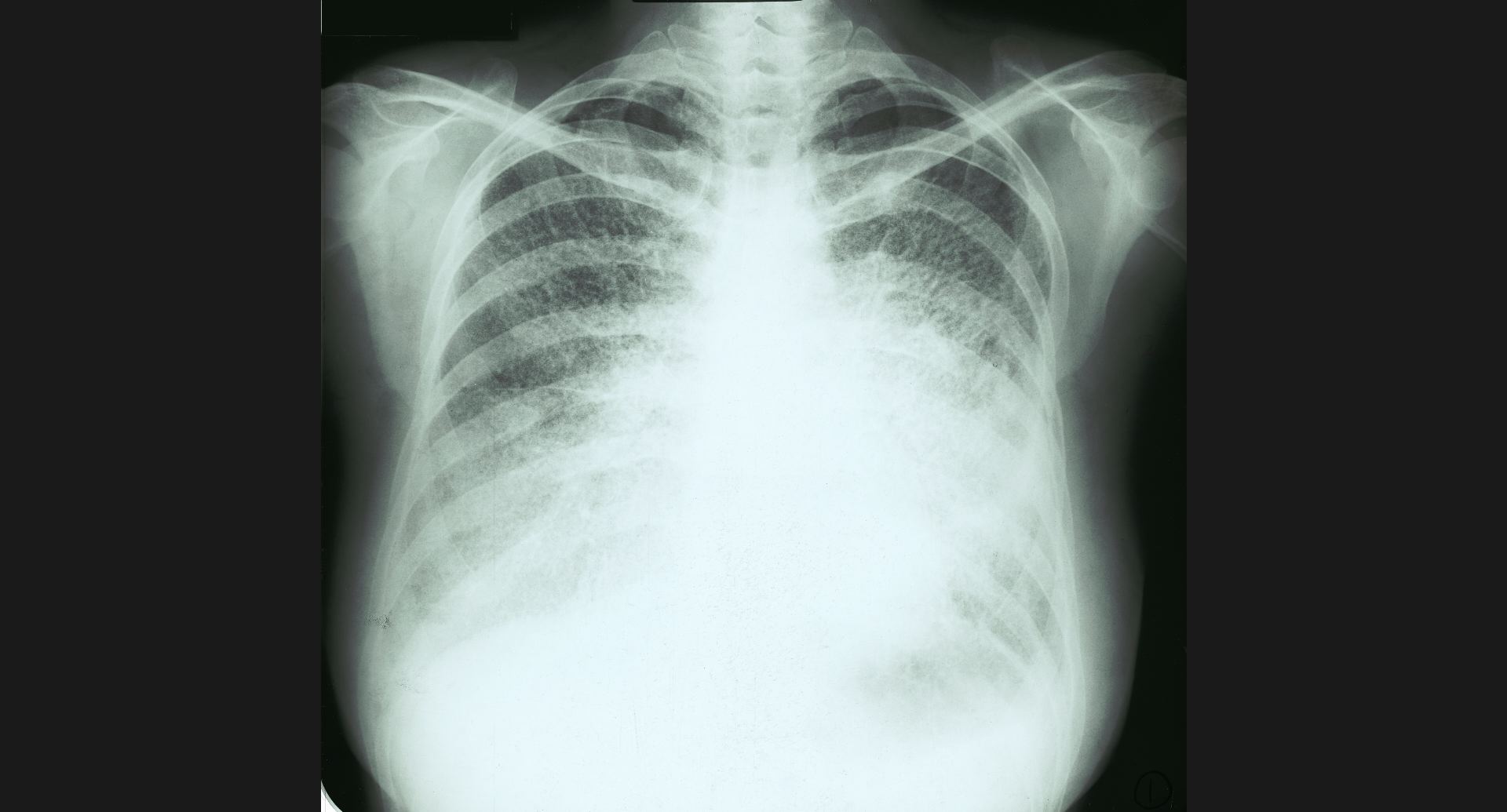
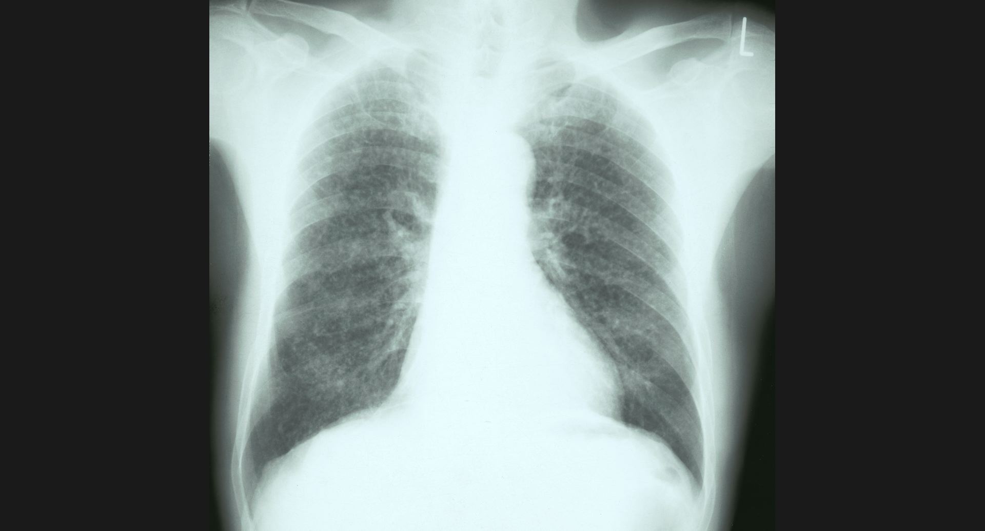
fig.9(94KB)
:Pneumoconiosis細かい斑状陰影。
fig.10(99KB)
:SMA thrombosis (angiography)閉塞部位。腸管壁の細かい動脈。
fig.11(59KB)
:IVC stenosis (cavography), lateral view
collateral vein。狭窄。
fig.12(73KB)
:LC (arterial portography)
fig.13(151KB)
:Aortic aneurysm (DSA)aneurysm。正常部との境界。
fig.14(77KB)
:Phantom discdisc内の透亮像。spur。
fig.15(55KB)
:Fibrous dysplasia骨頭のtrabeculation。病変部。
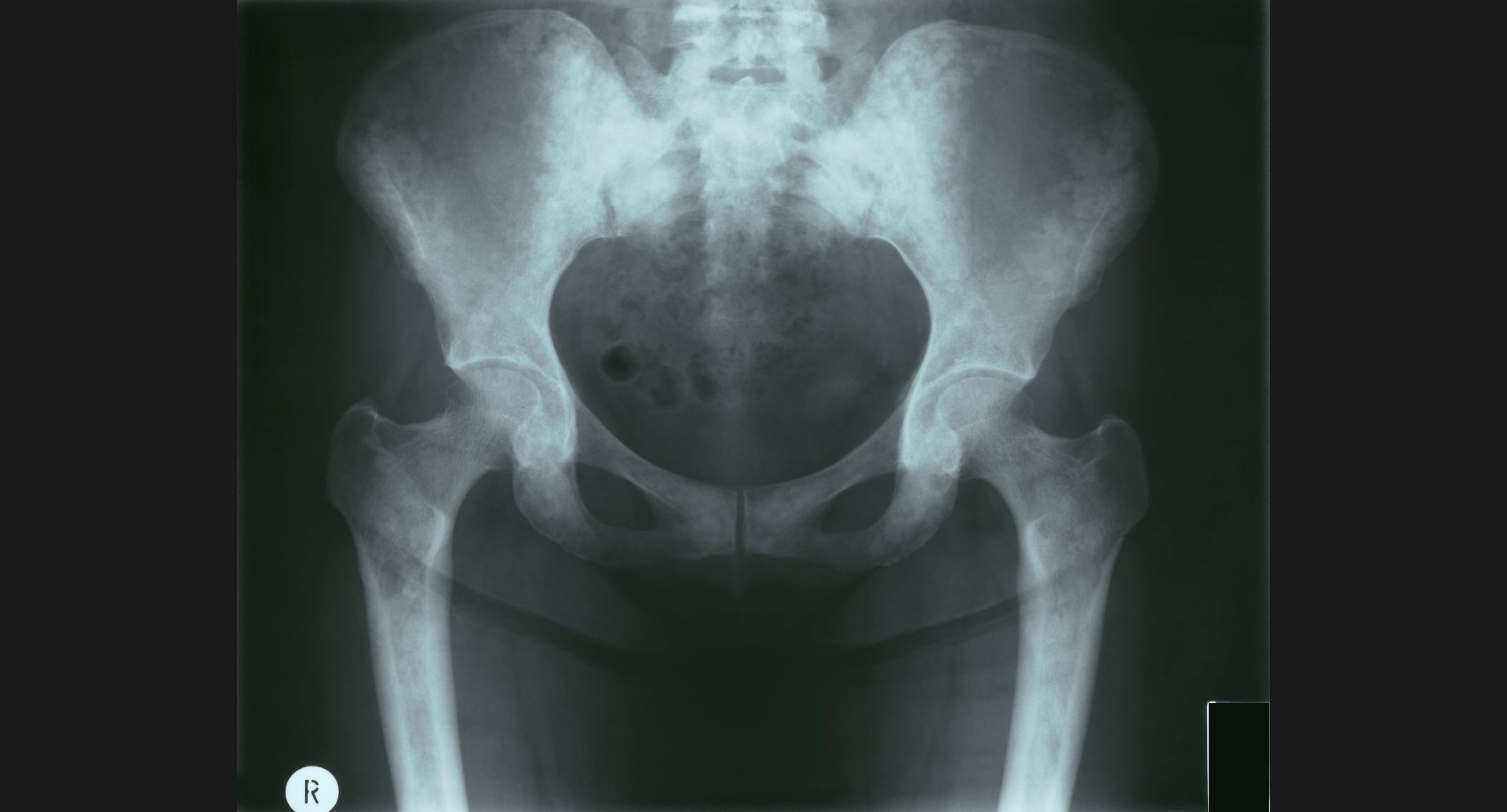
fig.16(93KB)
:Osteoblastic metastases (骨盤)
fig.17(81KB)
:Acro-osteolysisradius遠位端の骨梁。骨融解部。
fig.18(70KB)
:Marble bone古い骨折部にも注目。
fig.19(60KB)
:Histiocytosis
種類選択画面に戻る