標本の説明

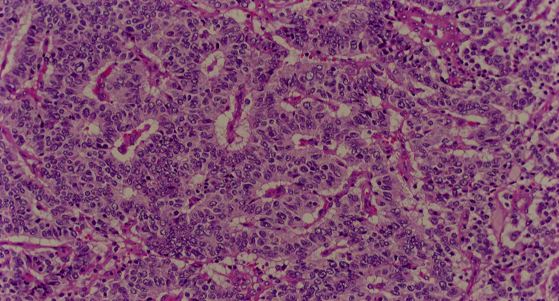
標本17

標本一覧に戻る